ワイヤー矯正、インプラント、セラミック治療例 入れ歯が合わない

   

性別・年齢

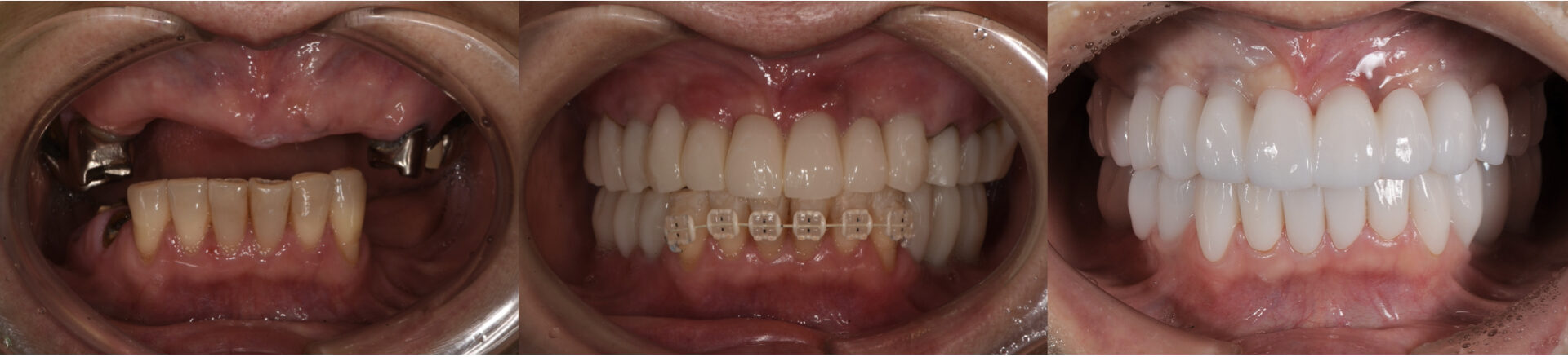
58歳女性

主訴

入れ歯が合わない

治療内容

矯正治療・インプラント・セラミック

副作用・リスク

疼痛

治療期間

1年3ヶ月

費用

600万円 ※範囲によって異なります。


PAGE TOP